.jpg.webp)
La reacción de Arias Stella o fenómeno de Arias Stella (también se escribe con guion entre los apellidos) consiste en una serie de cambios que ocurren principalmente en el endometrio —la capa más interna del útero— en presencia de tejido coriónico.[1]
Descripción
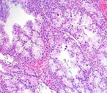
Al microscopio óptico, se observan alteraciones en las glándulas del endometrio en varios focos. Las células, y especialmente los núcleos se ven agrandados. Estos pueden mostrar una cromatina de aspecto vacuolizado o granular, aunque también pueden verse núcleos condensados y compactos (o sea, picnóticos). Se han descrito las siguientes variantes histológicas:[2]
- Atipia mínima
- Patrón secretor temprano
- Patrón secretor o hipersecretor
- Patrón regenerativo, proliferativo o no secretor
- Patrón de células monstruosas
Etiología
Los cambios son consecuencia de la acción hormonal de los estrógenos —que estimulan la proliferación celular— y los progestágenos —que aumentan la capacidad secretora de las glándulas endometriales—.[2][3]
Localización
Ocurre principalmente en el endometrio, pero también se ha descrito en las trompas de Falopio, vagina, focos de endometriosis, cistoadenomas mucionosos de ovario y quistes ováricos. También podría darse en el endocérvix, pero su diagnóstico es complicado.[1]
Historia
Fue descrito por primera por el patólogo peruano Javier Arias Stella en 1954.[1][4][5]
Véase también
- Útero
- Embarazo ectópico
- Progesterona
- Javier Arias Stella
Referencias
- 1 2 3 Luks, Sophie; Simon, Rochelle A.; Lawrence, W. Dwayne (2012). «Arias-Stella reaction of the cervix: The enduring diagnostic challenge». American Journal of Case Reports (en inglés) 13: 271-275. PMC 3614382. PMID 23569547. doi:10.12659/AJCR.883584. Consultado el 31 de marzo de 2020.
- 1 2 Arias Stella, J (enero de 2002). «The Arias-Stella Reaction: Facts and Fancies Four Decades After». Advances in Anatomic Pathology (en inglés) 9 (1): 12-23. PMID 11756756. doi:10.1097/00125480-200201000-00003. Consultado el 31 de marzo de 2020.
- ↑ Sánchez, Fabio; González, Antonio; Angel, Gonzalo; Correa, Mario; Díaz, Constanza (31 de marzo de 1995). «Hormonodependencia de la reacción de Arias Stella». Rev. Colomb. Obstet. Ginecol. 46 (1): 52-60. doi:10.18597/rcog.1567. Consultado el 31 de marzo de 2020.
- ↑ Muñoz Torcello, Carlos (1974). «Sobre el fenómeno o reacción de Arias-Stella». Revista Peruana de Ginecología y Obstetricia 20 (2). doi:10.31403/rpgo.v20i754. Consultado el 31 de marzo de 2020.
- ↑ Arias Stella, J (agosto de 1954). «Atypical endometrial changes associated with the presence of chorionic tissue.». A.M.A. archives of pathology (en inglés) 58 (2): 112-28. PMID 13170908. Consultado el 31 de marzo de 2020.
Enlaces externos
- Fenómeno de Arias Stella en la web del Instituto de Patología y Biología Molecular Arias Stella