| Polimiositis | ||
|---|---|---|
![]() | ||
| Especialidad |
neurología reumatología | |
| Sinónimos | ||
| Miositis múltiple | ||
La polimiositis (PM) es un tipo de miopatía inflamatoria crónica, como la dermatomiositis y la miositis por cuerpos de inclusión.
Epidemiología
La polimiositis, como la dermatomiositis y otras enfermedades autoinmunes, son en general más frecuentes en mujeres que en hombres.
Etiología
La causa es desconocida, aunque se cree que está relacionada con factores autoinmunes, genéticos y quizás algunos virus. En raros casos, la causa es atribuida a una infección, asociada con los patógenos que causan la enfermedad de Lyme, toxoplasmosis y otras. Se ha documentado la asociación con la enfermedad celíaca.[1]
Se cree que ante una lesión o daño a nivel muscular, se desarrolla una liberación de antígenos musculares que conlleva a un desajuste en la respuesta inmune, debido a que los macrófagos toman esos autoantígenos y se los presentan a los linfocitos T CD4+. Estos últimos llevan a un aumento en la producción de IFN-y que estimula a más macrófagos, aumentando así la respuesta inflamatoria mediada por citoquinas (IL-1 y TNF-α). Además, existe un aumento en la expresión de las proteínas MHC en la superficie de los miocitos, lo que lleva a ser reconocidos como células extrañas por parte de los linfocitos T CD8 citotóxicos, llevan a su destrucción.
Cuadro clínico
La polimiositis comúnmente aparece en el adulto, presentando debilidad muscular proximal bilateral, frecuentemente advertido por el paciente por la fatiga y cansancio exagerado al caminar. A veces la debilidad se presenta como la incapacidad de cambiar de posturas o de elevar los brazos sobre la cabeza. La debilidad es generalmente progresiva, acompañada por inflamación linfocítica (principalmente linfocitos T citotóxicos).
Debilidad muscular proximal simétrica e insidiosa, en forma sub-aguda (en meses o semanas), presentando dificultad para iniciar actividades cotidianas (levantarse de una silla sin ayuda, tomarse las manos por arriba de la cabeza).
Estos pacientes pueden tener disfagia. Las mialgias no son un síntoma habitual. Se asocian a conectivopatías (esclerodermia, Síndrome de Sjögren, etc.)
Diagnóstico
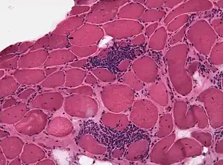
Se basa en un cuadro clínico característico (debilidad muscular simétrica, astenia, adinamia, etc.). Pueden presentarse aumento de enzimas musculares (CK muscular), alteraciones electromiográficas consistentes en ondas breves de bajo voltaje, y signos de infiltrados inflamatorios a predominio mononuclear parcheada en muestra de biopsia de músculo afectado clínicamente.
En los análisis clínicos más de un 65% de los pacientes tienen anticuerpos anti-Jo positivo. En el 50% de los casos hay anticuerpos ANA positivos
Diagnóstico diferencial
A diferencia de la dermatomiositis, en la poliomisitis no existe compromiso de la piel. La enfermedad pulmonar intersticial es otra de las manifestaciones que se aprecia en ambos cuadros inflamatorios. Debe realizarse la evaluación de los pulmones tras el diagnóstico de polimiositis, debido a que tiene una relación directa con la morbimortalidad de la enfermedad.
Tratamiento
En general, el tratamiento consiste en altas dosis de esteroides. La fuerza muscular mejora dentro de los 4-6 semanas de tratamiento ( útil para diferenciarla de otros cuadros inflamatorios como la miositis por cuerpos de inclusión). Aquellos pacientes sin respuesta al tratamiento con esteroides son sometidos a terapia inmunosupresora. También ha demostrado una mejoría en el tratamiento y en la calidad de vida de los pacientes la práctica de ejercicios musculares especializados.
Referencias
- ↑ Shapiro M, Blanco DA (febrero de 2017). «Neurological Complications of Gastrointestinal Disease.». Semin Pediatr Neurol (Revisión) 24 (1): 43-53. PMID 28779865. doi:10.1016/j.spen.2017.02.001.
