| Fecaloma | ||
|---|---|---|
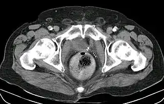
![]() Fecaloma rectal en un paciente hospitalizado. Presenta, además, una neovejiga y aterosclerosis. TC abdominal. | ||
| Especialidad | gastroenterología | |
Un fecaloma (llamado también fecalito y coprolito, i.e., piedras de heces), es una acumulación de heces en el recto o en el colon, que taponan el flujo normal del tracto intestinal.[1] A veces, están pegados a las paredes del intestino y puede ser causado por situaciones que enlentecen el tránsito intestinal: tercera edad, estreñimiento por deshidratación, enfermedad de Chagas, (por destrucción del sistema nervioso autónomo, enfermedad parasitaria propia de México, América Central y América del Sur), enfermedad de Hirschsprung, etc.

Este tipo de afección puede ser severa e incluso letal, como sería la ruptura de las paredes del colon, por las agudezas de los fecalomas (perforación estercoral), seguida de septicemia. También un fecaloma puede causar una apendicitis aguda.
Véase también
Referencias
- ↑ Setya, Aniruddh; Mathew, George; Cagir, Burt (2021). Fecal Impaction. StatPearls Publishing. Consultado el 30 de octubre de 2021.
