| Asbestosis | ||
|---|---|---|
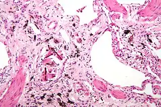
![]() Micrografía de asbestosis que muestra los cuerpos ferruginosos característicos y marcada fibrosis intersticial (o cicatrización). Tinción hematoxilina-eosina. | ||
| Especialidad | neumología | |
| Síntomas | Dificultad para respirar, tos, sibilancias, dolor en el pecho | |
| Complicaciones | Cáncer de pulmón, mesotelioma, fibrosis pulmonar | |
| Diagnóstico | Antecedentes de exposición, imágenes médicas | |
| Prevención | Eliminación de la exposición | |
La asbestosis es una enfermedad rara que causa fibrosis pulmonar originada por una contaminación por fibras de asbesto o amianto. Por su etiología se considera una enfermedad profesional.[1]
Causas
Las fibras de asbesto se utilizaban en diferentes ámbitos antes de 1975 (construcción, minas de asbesto, industria molinera y fabricación de material refractario), hoy en día es menos frecuente esta enfermedad debido a las regulaciones gubernamentales sobre el manejo del asbesto, promulgadas para contener su riesgo sanitario, ya que la enfermedad no sólo es peligrosa y sin cura, sino que además tarda en manifestarse y, por tanto, en conocerse.
La asbestosis está causada por la inhalación de fibras de asbesto (también conocido como amianto en España), lo cual suele darse en entornos laborales que hayan requerido su manipulación intensa o continuada, favoreciendo su bioacumulación en el organismo, que es incapaz de expulsarlo. Así se origina una intoxicación sin reactividad química, pero con agresión mecánica, al ser unas fibras diminutas, pero resistentes, que producen una erosión abrasiva permanente al tejido pulmonar, mermando la capacidad respiratoria y de esfuerzo.
Patología
El amianto es una sustancia inorgánica que al acumularse de forma progresiva y continuada produce destrucción y posteriormente cicatrices pulmonares crónicas debido a la incapacidad de las células de defensa pulmonar (macrófagos) de digerir y eliminar adecuadamente este material inorgánico. Estas cicatrices impiden el normal funcionamiento pulmonar (disminución de la expansión pulmonar por fibrosis, intercambio gaseoso), lo que explica los síntomas de la enfermedad.
Se produce así una neumoconiosis caracterizada por una fibrosis pulmonar (enfermedad pulmonar intersticial). Está asociada a mesotelioma y carcinoma broncogénico.
Síntomas respiratorios
Aparecen muchos años después de la exposición y su gravedad depende del tiempo y grado de exposición al asbesto:
- Tos
- Dolor torácico
- Disnea

Síntomas por hipoxemia crónica
Pueden manifestarse acropaquias (deformidad en dedos en palillos de tambor y uñas en vidrio de reloj).
Diagnóstico
- Se sospecha por los antecedentes de actividades relacionadas con la exposición laboral crónica al asbesto o sus familiares (en los trabajadores del asbesto sus ropas quedaban impregnadas de este material y era inhalado por sus familiares cercanos)
- Rayos X de tórax (calcificaciones plurales)
- Tomografia computarizada torácica
- Gamagrafia pulmonar con galio
- Pruebas de función pulmonar
Complicaciones
- EPOC
- Cáncer de pulmón
- Mesotelioma maligno
- Derrames pleurales
- Placas pleurales
Referencias
- ↑ Bhandari, Jenish; Thada, Pawan K.; Sedhai, Yub Raj (2022). Asbestosis. StatPearls Publishing. Consultado el 8 de diciembre de 2022.
Enlaces externos
- Información general sobre el Mesotelioma maligno
- ATSDR en Español - ToxFAQs™: asbesto
- En Epistemoikos hay más información sobre Asbestosis.
