Tumor endometrioide
Los tumores endometrioides son una clase de tumores que se caracterizan por su parecido con el endometrio/[1] carcinoma endometrial, y más de un tercio de los casos tienen una diferenciación escamosa focal.
| Tumor endometrioide | ||
|---|---|---|
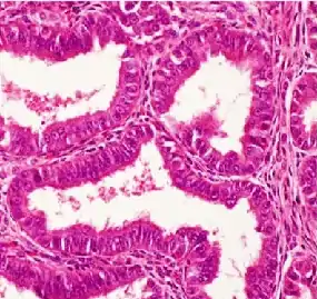
![]() Histopatología de un adenocarcinoma endometrioide bien diferenciado en el ovario | ||
| Especialidad | Oncología, ginecología | |
Ovario

Forman parte del grupo de tumores epiteliales de superficie de las neoplasias ováricas (de las cuales el 10-20% son del tipo endometrioide). Las variantes benignas y limítrofes son raras, ya que la mayoría son malignas. Existe una asociación con la endometriosis y el carcinoma endometrial primario concurrente (cáncer de endometrio).
En el examen patológico macroscópico, el tumor es quístico y puede ser sólido y algunos surgen en la endometriosis quística. En el 40% de los casos, los tumores endometrioides son bilaterales.[3]
Endometrio
El carcinoma endometrioide también puede surgir en el endometrio.[4][5]
Los grados 1 y 2 se consideran cáncer de endometrio "tipo 1", mientras que el grado 3 se considera "tipo 2".[6]
Incidencias relativas de carcinomas de endometrio por histopatología, siendo endometrioide en la mayoría de los casos.
Microscopía óptica
La microscopía óptica muestra glándulas tubulares, parecidas al endometrio[7]
Biología molecular
Mutaciones CTNNB1 y PTEN
Los carcinomas endometrioides de ovario y de endometrio tienen perfiles de mutación de los genes CTNNB1 y PTEN distintos. Las mutaciones de PTEN son más frecuentes en los carcinomas endometrioides de bajo grado (67%) en comparación con los carcinomas endometrioides de bajo grado de ovario (17%). Por el contrario, las mutaciones de CTNNB1 son significativamente diferentes en los carcinomas endometrioides de ovario de bajo grado (53%) en comparación con los carcinomas endometrioides de bajo grado (28%). Esta diferencia en la frecuencia de mutaciones en CTNNB1 puede reflejar los distintos microambientes tumorales; las células epiteliales que recubren un quiste endometriósico dentro del ovario están expuestas a un entorno altamente oxidativo que promueve la tumorigénesis.[8]
Referencias
- «Dorlands Medical Dictionary:endometrioid tumor».
- Kosary, Carol L. (2007). «Chapter 16: Cancers of the Ovary». En Baguio, RNL; Young, JL; Keel, GE; Eisner, MP; Lin, YD; Horner, M-J, eds. SEER Survival Monograph: Cancer Survival Among Adults: US SEER Program, 1988-2001, Patient and Tumor Characteristics. SEER Program. NIH Pub. No. 07-6215. Bethesda, MD: National Cancer Institute. pp. 133-144.
- Robbins; Cotran, eds. (2005). Pathologic Basis of Disease (7th edición). Philadelphia: Saunders. ISBN 978-0-7216-0187-8.
- «Combined large cell neuroendocrine and endometrioid carcinoma of the endometrium». Int. J. Gynecol. Pathol. 27 (1): 49-57. January 2008. PMID 18156975. doi:10.1097/pgp.0b013e31806219c5.
- MeSH: Carcinoma,+Endometrioid (en inglés)
- «ACS :: What Is Endometrial Cancer?». Archivado desde el original el 20 de junio de 2010. Consultado el 24 de marzo de 2010.
- Shahrzad Ehdaivand. «Ovary tumor - Endometrioid tumors - General». Pathology Outlines. Archivado desde el original el 16 de febrero de 2020. Consultado el 14 de abril de 2021. Topic Completed: 1 December 2012. Revised: 6 March 2020
- McConechy, M. K.; Ding, J; Senz, J; Yang, W; Melnyk, N; Tone, A. A.; Prentice, L. M.; Wiegand, K. C. et al. (2014). «Ovarian and endometrial endometrioid carcinomas have distinct CTNNB1 and PTEN mutation profiles». Modern Pathology 27 (1): 128-34. PMC 3915240. PMID 23765252. doi:10.1038/modpathol.2013.107.
