Saturnismo
Se denomina saturnismo, plumbosis o plombemia al envenenamiento que produce el plomo (Pb) cuando entra en el cuerpo humano. Se denomina así debido a que, en la antigüedad, los alquimistas llamaban «saturno» a dicho elemento químico. Se denomina saturnismo hídrico al que se produce a través del agua ingerida, pues el plomo, mineral inoxidable muy maleable, no confiere gusto al agua ni a los alimentos. Precipita con ácido clorhídrico. Previa a la intoxicación existe una etapa de contaminación. El plomo es el primer metal conocido y más ampliamente estudiado por su riesgo ambiental.
| Saturnismo | ||
|---|---|---|
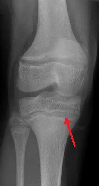
![]() Radiografía que muestra densas líneas metafisarias, características del saturnismo. | ||
| Especialidad | medicina de emergencia | |
Cuando el plomo entra en el organismo, las enzimas que metabolizan los aminoácidos azufrados lo transforman en sulfuro de plomo. Para detectar la presencia de plomo en la sangre, el análisis más utilizado es el llamado espectrofotometría de absorción atómica en cámara de grafito.[1]
El saturnismo genera anemia, debido a que el plomo en la sangre bloquea la síntesis de hemoglobina y altera el transporte de oxígeno a la sangre y hacia los demás órganos del cuerpo. Se cree que estas reacciones son provocadas tras la sustitución de los metales como el calcio, el hierro y el zinc por plomo dentro de las enzimas; las diferencias en las propiedades químicas provocan que no cumplan debidamente las funciones enzimáticas. Es también una causa menos frecuente de hipertensión arterial secundaria.
El plomo es un metal pesado neurotóxico que cuando está presente en la sangre, circula por todo el organismo ocasionando daños neurológicos irreversibles al llegar al cerebro.
Presumiblemente, Beethoven padeció esta enfermedad, la cual es posible que le provocase la sordera y agriase su carácter. Sin embargo, era más frecuente encontrarla entre otros colectivos artísticos que en el de los músicos, especialmente en el de los pintores, debido al alto contenido de plomo presente en los pigmentos que utilizaban. Un ejemplo claro lo podemos encontrar en Goya, quien —después de trabajar en sus cartones— se retiró en 1792 para recuperarse de una dolencia que acabaría por dejarle sordo en 1793.[2] Caravaggio también padeció esta enfermedad debido a su profesión. Otros casos recurrentes en la historia los protagonizaron los emperadores, senadores y demás acaudalados romanos, los cuales disponían de canalizaciones de plomo en sus domus y vajillas realizadas en bronce y recubiertas por finas capas de plomo para neutralizar el efecto venenoso del cardenillo. Asimismo, era costumbre "endulzar" el vino, añadiendo raspaduras de plomo.
Tipos de intoxicación
- La intoxicación aguda por plomo es poco frecuente y se debe a la ingestión de compuestos de plomo acidosolubles o a la inhalación de vapores que lo contengan, como ocurre con los gases de la combustión de los motores de gasóleo. En caso de ingestión de altas dosis, puede ocasionar una encefalopatía aguda con ataxia, somnolencia e irritabilidad que afecta especialmente a los niños.
- La intoxicación crónica es más habitual. Entre los principales síntomas aparecen el estreñimiento, malestar, sabor metálico, palidez, punteado en la retina y una línea de color oscura en el margen de las encías, que se produce al reaccionar el plomo eliminado por la saliva con restos de alimentos (Ribete de Burton).
Efectos tóxicos
Efectos gastrointestinales
Aparecen en ambos tipos de intoxicación. Cursa con un cuadro agudo gastrointestinal, con abundantes vómitos, dolor abdominal, heces negras y estreñimiento. Pueden desarrollarse cólicos difusos en ocasiones muy dolorosos.
Efectos neurológicos, neuroconductuales y sobre el desarrollo de los niños
El plomo afecta a la sincronización de las conexiones intercelulares durante el desarrollo, alterando de esta manera el sistema de circuitos neuronales. También promueve la diferenciación precoz de la neuroglía y modifica las concentraciones de algunos neurotransmisores, principalmente de adrenalina y noradrenalina.
Otro mecanismo de acción tóxica del plomo es la alteración de la homeostasis del calcio y de su captación por los canales de calcio de la membrana. Además el plomo es capaz de disminuir la producción de energía necesaria para llevar a cabo las funciones del cerebro al bloquear la entrada de calcio en las terminales nerviosas, inhibiendo su entrada en las mitocondrias. Una manifestación clásica del saturnismo crónico es la neuropatía periférica en la cual destacan síntomas como el pie caído y la mano péndula.
Los primeros síntomas de la encefalopatía saturnina consisten en letargo, vómitos, irritabilidad, anorexia y vértigos, seguidas de una ataxia y de una bajada del nivel de consciencia, que en los casos más graves puede evolucionar hacia el coma y la muerte. La recuperación se acompaña de secuelas como epilepsia, retraso mental, neuropatía óptica y ceguera.
Los mejores indicadores de estos efectos son índices de desarrollo mental, como la escala Bayley para lactantes, y las determinaciones del coeficiente intelectual. En el segundo año de vida los niños pueden manifestar defectos del lenguaje. Durante la infancia y adolescencia se producen trastornos por déficit de atención e hiperactividad (TDAH) y alteración a la capacidad de lectura, y en los adultos se ha relacionado el umbral auditivo y las concentraciones sanguíneas de plomo.
Efectos hematológicos
Uno de los efectos más habituales de la intoxicación por plomo es la anemia. Es importante conocer que el plomo es un metal que se acumula de manera característica en el estroma de los eritrocitos. La anemia se debe a dos alteraciones básicas: un acortamiento de la vida de los eritrocitos y un trastorno de la síntesis del grupo hemo. El mecanismo de toxicidad consiste en la capacidad del plomo para inhibir a la deshidratasa del ácido δ-aminolevulínico (ALA-D) lo que produce una disminución de la actividad de la ferroquelatasa, enzima que cataliza la incorporación del ion ferroso a la estructura anular de la porfirina. Todo ello da lugar a la disminución de la formación del grupo hemo de la hemoglobina.
Efectos tóxicos renales
La nefrotoxicidad aguda del plomo provoca alteraciones en la función y forma del túbulo proximal. Como consecuencia se ve alterado el transporte dependiente de energía, lo que da lugar a aminoaciduria, glucosuria y alteraciones iónicas en la orina.
Otros efectos tóxicos
El plomo provoca hipertensión arterial porque afecta a la renina plasmática y a la calicreína urinaria, altera las células del músculo liso vascular y modifica la sensibilidad a catecolaminas. Además tiene efectos sobre el sistema inmunitario, ya que actúa como inmunosupresor, disminuyendo las inmunoglobulinas y los linfocitos B principalmente.
También compite con el calcio en la absorción digestiva, provocando una disminución en sus niveles plasmáticos. Además durante mucho tiempo se ha asociado el plomo a esterilidad y a muerte neonatal.
Por último es importante destacar que el plomo es un metal carcinógeno y que su exposición laboral se asocia a cáncer de pulmón, vejiga y cerebro.
Tratamiento de la intoxicación por plomo
El tratamiento consiste en la retirada inmediata de la fuente de exposición, tratamiento sintomático de los cuadros más graves y eliminación del plomo con un agente quelante. Se suele emplear inicialmente el edetato de Na2-Ca, solo o en combinación con dimercaprol, seguidos de D-penicilamina en caso de ser necesaria una terapia de mantenimiento.
El edetato cálcico disódico es el más empleado porque produce una rápida desaparición de los cólicos abdominales y de la paresia. Una vez introducido en el organismo, dada su característica de quelar iones bivalentes y trivalentes se une al calcio y produce hipocalcemia. Sin embargo se utiliza para la quelación de metales que muestran más afinidad por el EDTA (ácido etilendiaminotetraacético) que el calcio, como es el caso del plomo, en cuya intoxicación su eficacia es máxima.
Fuentes intoxicantes
- Utensilios de barro vidriado.
- Pinturas de paredes, casas, puertas y ventanas a base de plomo.
- Emanaciones tóxicas de fábricas y talleres. La inadecuada manipulación del plomo como recurso para la fabricación de objetos de plástico, cerámicas,[3] municiones, baterías, etc, así como la acumulación del mineral sin el debido cuidado.
- Plomo en la pintura utilizada en algunos juguetes.
- Emanaciones que desprenden los vehículos cuyos combustibles contienen plomo.
- Cromato de Pb (PbCrO4) usado en insecticidas.[4][5]
- Cañerías o soldaduras de plomo por las que fluye agua potable.
- Latas de conservas selladas con plomo.
- Plomo en el agua corriente.
- Circuitos hidráulicos de cafeteras antiguas "Sabatini".
- Labiales mágicos, especialmente los marroquíes (la presentación viene en distintos colores, pero todos tiñen en gama de rojos a rosas).
- Proyectiles de los cazadores (el plomo se dispersa en el medio ambiente contaminando fuentes hídricas).
- Plomadas utilizadas para pesca y usadas como juguetes por los niños.
- Ciertos productos ayurvédicos.[6]
- Baterías basadas en plomo.
- Precintos para sellado de medidores de agua y electricidad.
Medidas preventivas
Es importante tener en cuenta la reglamentación para el empleo y uso de materiales y equipos manufacturados con plomo, implicados en los procesos de producción y elaboración de alimentos. Se utilizan medidas de nivel de plomo en sangre para saber la cantidad que se encuentra disuelta en la sangre.
Referencias
- Ericson, Bret; Hu, Howard; Nash, Emily; Ferraro, Greg; Sinitsky, Julia; Taylor, Mark Patrick (1 de marzo de 2021). «Blood lead levels in low-income and middle-income countries: a systematic review». The Lancet Planetary Health (en inglés) 5 (3): e145-e153. ISSN 2542-5196. PMID 33713615. doi:10.1016/S2542-5196(20)30278-3. Consultado el 15 de enero de 2022.
- BOZAL, Valeriano, Francisco Goya, vida y obra, Madrid, Tf, 2005, 2 vols. ISBN 978-84-96209-39-8.
- Anna Turns. «Mapping Our 'Pollution Landscape'». www.resurgence.org (en inglés). Consultado el 4 de abril de 2022.
- «Copia archivada». Archivado desde el original el 12 de octubre de 2009. Consultado el 3 de julio de 2010.
- «Copia archivada». Archivado desde el original el 8 de agosto de 2010. Consultado el 3 de julio de 2010.
- http://news.bbc.co.uk/hi/spanish/science/newsid_7584000/7584586.stm
Bibliografía
C.D. Klassen; J.B. Watkins III (2005). Casarett y Doull. Fundamentos de Toxicología. McGraw-Hill Interamericana de España S.L. pp. 359-361. ISBN 8448605349.
Flórez, J.; Armijo, J.A.; Mediavilla, A. (2008). 5ª, ed. Farmacología humana. Elsevier España. pp. 1396-1397. ISBN 9788445818619.
Enlaces externos
- ATSDR en Español - Estudios de Caso en Medicina Ambiental: La toxicidad del plomo Departamento de Salud y Servicios Humanos de EE.UU. (dominio público)
- ATSDR en Español - ToxFAQs™: Plomo (Pb) Departamento de Salud y Servicios Humanos de EE.UU. (dominio público)
- ATSDR en Español - Resumen de Salud Pública: Plomo (Pb) Departamento de Salud y Servicios Humanos de EE.UU. (dominio público)
- Tóxicos e intoxicaciones: plomo.
