Radiografía de tórax
La radiografía de tórax, comúnmente llamada placa de tórax, es el examen de diagnóstico por rayos X más comúnmente realizado. Una radiografía de tórax genera imágenes del corazón, los pulmones, las vías respiratorias, los vasos sanguíneos y los huesos de la columna y el tórax.

Un rayos X (radiografía) es un examen médico no invasivo que ayuda a los médicos a diagnosticar y tratar las condiciones médicas.
La toma de imágenes con rayos X supone la exposición de una parte del cuerpo a una pequeña dosis de radiación ionizante para producir imágenes del interior del cuerpo. La dosis típica de radiación en adultos de una radiografía de tórax es de alrededor de 0,02 mSv para una vista posteroanterior y de unos 0,04 mSv para una vista lateral.[1]
Los rayos X son la forma más antigua y de uso más frecuente para producir imágenes médicas.

Problemas identificados
La radiografía de tórax es usada para diagnosticar muchas condiciones que involucran la pared torácica, incluyendo sus huesos, además del contenido de la cavidad torácica como por ejemplo los pulmones, el corazón, y los grandes vasos. La neumonía y la insuficiencia cardíaca son muy comúnmente diagnosticadas mediante radiografía de tórax. Las radiografías de tórax son usadas para tamizaje en busca de enfermedades ocupacionales en industrias tales como la minería, donde los trabajadores se hallan expuestos al polvo.
Para algunas condiciones del tórax, la radiografía es buena para tamizaje (screening de los anglosajones), pero pobre para diagnóstico. Cuando una dolencia se sospecha sobre la base de una placa de tórax, más estudios de imágenes pueden obtenerse para diagnosticar definitivamente la dolencia o para confirmar el diagnóstico sugerido por la radiografía torácica inicial.
A continuación se listan en orden alfabético las principales regiones donde una placa de tórax puede identificar problemas:
- Ángulos costofrénicos, incluyendo derrames pleurales.
- Bordes, p. ej., ápices (vértices) en busca de fibrosis, neumotórax, engrosamiento pleural o placas.
- Campos (parénquima pulmonar), siendo evidencia de inundación alveolar.
- Diafragma, p. ej., aire libre, indicativo de perforación de una víscera abdominal.
- Fallas, p. ej., enfermedad del espacio aéreo alveolar con vascularidad prominente (con o sin derrames pleurales).
- Huesos p. ej., costillas rotas y lesiones osteolíticas.
- Silueta cardíaca, detectando agrandamiento cardíaco.
- Sombras mamarias.
- Tejidos extratorácicos.
- Vías aéreas, incluyendo agrandamiento o adenopatía hiliares.
Vistas

Diferentes vistas (técnicamente denominadas proyecciones) del tórax pueden ser obtenidas al cambiar la posición relativa del cuerpo y la dirección del haz de rayos X. Las vistas más comunes son posteroanterior, anteroposterior y lateral. En una vista posteroanterior (PA), la fuente de rayos X se halla posicionada de manera tal que los rayos X ingresan por el aspecto posterior (espalda) del tórax y regresan por el aspecto anterior (frontal) donde los mismos son detectados. Para obtener esta vista, los pacientes se paran enfrentando un superficie plana detrás de la cual hay un detector de rayos X. Una fuente de radiación es posicionada detrás del paciente y los haces de rayos X son disparados hacia el paciente.
En las vistas anteroposteriores (AP), las posiciones de la fuente y detector de rayos X son revertidas: los rayos X ingresan por el aspecto anterior y egresan por el aspecto posterior del tórax. Las radiografías anteroposteriores del tórax son más difíciles de interpretar que las PA y por ello son generalmente reservadas para situaciones donde es engorroso para el paciente obtener una placa de tórax ordinaria, tales como cuando el paciente no puede levantarse de la cama. En esta situación, equipamiento radiológico móvil es usado para obtener una radiografía de tórax yaciente (conocida como placa supina). Como resultado, la mayoría de las placas supinas son además anteroposteriores (AP).
Las vistas laterales son obtenidas de una manera similar a las vistas posteroanteriores, excepto que en la vista lateral el paciente se para con ambos brazos levantados y el lado izquierdo del tórax apretado contra una superficie plana.
Vistas típicas
En EE. UU., la radiología inicial del tórax generalmente consta de una vista PA y otra lateral. En otros países, la vista PA basta como un estudio inicial y la vista lateral solamente es añadida si se halla indicada a partir de una vista PA.
Vistas adicionales
- Decúbito: útil para diferenciar derrames pleurales de consolidación, y derrames loculados (localizados) de líquido libre en el espacio pleural.
- Vista lordótica: usada para visualizar el ápex (vértice) del pulmón y para detectar anomalías como el tumor de Pancoast.
- Vista espiratoria: útil para el diagnóstico de neumotórax.
- Vista oblicua.
Anormalidades
Nódulos
Un nódulo es una opacidad discreta en el pulmón que posiblemente sea causada por:
- Neoplasia: benigna o maligna.
- Granuloma: tuberculosis.
- Infección: neumonía redondeada.
- Vascular: infarto, varix, granulomatosis de Wegener, artritis reumatoide.
Hay un ciertas características que son útiles para sugerir el diagnóstico:
- Velocidad de crecimiento.
- Doubling time menor de 1 mes: sarcoma/infarto/infección/vascular.
- Doubling time de 6 a 18 meses: tumor benigno/ granuloma maligno.
- Doubling time mayor de 24 meses: neoplasia nodular benigna.
El doubling time es el tiempo en que un tumor duplica su tamaño.
- Margen.
- Suave.
- Lobulado.
- Presencia de una corona radiada.
- Calcificación.
- Forma.
- Sitio.
Si los nódulos son múltiples, entonces el diagnóstico diferencial es más pequeño:
- Infección: tuberculosis, micosis, émbolos sépticos
- Neoplasia: metástasis, linfoma, hamartoma
- Sarcoidosis
- Alveolitis
- Enfermedad autoinmune: granulomatosis de Wegener, artritis reumatoide
- Inhalación (p. ej., neumoconiosis)
Cavidades
Una cavidad es una estructura intrapulmonar hueca con pared. El diagnóstico es auxiliado al notar:
- Engrosamiento parietal
- Contorno de la pared
- Cambios en el tejido pulmonar circundante
Las causas incluyen:
- Cáncer
- Infarto (usualmente debido a un émbolo en el circuito pulmonar)
- Infección: p. ej., Staph aureus, tuberculosis, bacterias Gram-negativas (especialmente K pneumoniae), bacterias anaerobias, y hongos
- Granulomatosis de Wegener
Anomalías pleurales
La retención de material líquido en el espacio entre el pulmón y la pared torácica se denomina derrame pleural. Se necesitan al menos 75 mL de fluido para borrar el ángulo costofrénico en la placa lateral de tórax, y unos 200 mL en la proyección posteroanterior. En una radiografía obtenida con el paciente en decúbito lateral, una cantidad tan pequeña como 5 mL de líquido puede borrar el ángulo costofrénico. Los derrames pleurales típicamente tienen un menisco visible en una radiografía torácica erecta, pero los derrames loculados (como ocurre con un empiema) pueden llegar a tener forma lenticular (el líquido crea un ángulo obtuso con la pared torácica).
Un engrosamiento pleural puede llegar a causar borramiento del ángulo costofrénico, pero es diferenciado del líquido pleural por el hecho de que aparece como una sombra linear ascendiendo verticalmente y adosándose a las costillas.
Sombreado difuso
El diagnóstico diferencial para sombreado difuso es muy amplio y puede desafiar incluso al médico radiologista más experimentado. Es raramente posible alcanzar un diagnóstico sobre la base de la radiografía torácica solamente: una tomografía computada de alta resolución es usualmente requerida y a veces una biopsia pulmonar. Las siguientes características deberían observarse:
- Tipo de sombreado (líneas, puntos o anillos)
- Reticular (líneas entrecruzadas)
- Sombra acompañante (líneas paralelas a mojones óseos)
- Nodular (múltiples puntos pequeños)
- Anillos o quistes
- Vidrio molido
- Consolidación (opacidad difusa con broncogramas aéreos)
- Patrón reticular (linear)
Llamado a veces "retículonodular" debido a la apariencia de nódulos en la intersección de las líneas, aun cuando no hay verdaderos nódulos presentes.
- Patrón nodular
- Cístico
- Vidrio molido
- Alveolitis alérgica extrínseca
- Neumonitis intersticial difusa
- Proteinosis alveolar
- Enfermedad de la membrana hialina
- Consolidación
- Neumonía
- Hemorragia alveolar
- Carcinoma bronquioloalveolar
- Vasculitis
Signos
El signo de la silueta es especialmente útil para localizar lesiones pulmonares (p. ej., pérdida del borde cardíaco derecho en la neumonía del lóbulo medio derecho).
El signo del broncograma aéreo, donde se ven columnas de aire radiolúcidas correspondientes al árbol bronquial, usualmente indica enfermedad del espacio aéreo debida sangre, pus, mucus, células o material proteico que se halla rodeando los broncogramas aéreos. Esto se ve en el síndrome de distrés respiratorio.
El signo de la habichuela, descrito primero por el profesor Keval Pandya, es la aparición en la placa de tórax de un nódulo nítidamente delimitado con forma de frijol que tiene una alta sensibilidad y especificidad (92 % y 88 % respectivamente) para la presencia de tuberculosis miliar.
Limitaciones
Aunque las placas de tórax son un método barato y relativamente seguro de investigar las dolencias torácicas, hay un buen número de condiciones torácicas serias que pueden llegar a estar asociadas con una radiografía torácica normal y otros medios pueden llegar a ser necesarios para hacer el diagnóstico. Por ejemplo, un paciente con un infarto agudo de miocardio puede llegar a tener una placa de tórax normal.
Véase también
Imágenes adicionales
Placa posteroanterior de tórax en el sujeto normal.
Placa lateral de tórax en el sujeto normal. El lado izquierdo del tórax se apoya sobre el cassette de la película radiográfica para impedir la magnificación del corazón. Las placas posteroanterior y lateral constituyen el "par radiográfico de tórax".
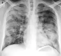
Radiografía torácica mostrando una prominente área de consolidación aérea cuneiforme en pulmón derecho, característica de la neumonía lobar aguda.
Placa torácica mostrando consolidación pulmonar multifocal y bilateral, característica de la bronconeumonía.
Placa posteroanterior mostrando (dentro del recuadro) un nódulo solitario en lóbulo superior de pulmón izquierdo. Dicho nódulo corresponde a un carcinoma bronquial.
Placa posteroanterior invertida y resaltada.
Una radiografía torácica mostrando displasia broncopulmonar.
Placa de tórax tomada después de colocar un desfibrilador automático implantable; muestra el generador del aparato en el tórax superior izquierdo y la derivación (electrodo) del aparato en la cavidad del ventrículo derecho. Nótese ambos resortes radiopacos a lo largo de la derivación del aparato.
Placa portátil (o sea, anteroposterior) mostrando tubo endotraqueal y tubo nasogástrico, ambos en correcta posición.
Referencias
- «Chest x ray vs. helical-CT chest screening». Archivado desde el original el 25 de mayo de 2009.