Liquen plano
Un liquen plano es una enfermedad inflamatoria poco común que afecta la piel y la mucosa oral, de causa desconocida aunque pueden estar asociados a una reacción alérgica o inmunitaria y por lo general causa picazón.
| Liquen plano | ||
|---|---|---|
![]() | ||
| Especialidad | dermatología | |
Etimología
El liquen plano fue originalmente descrito por el médico británico Erasmus Wilson en 1896. Se conoce a las lesiones con el nombre de liquen por su semejanza a la planta y relación simbiótica entre un alga y un hongo.[1]
Epidemiología
El liquen plano afecta a las mujeres más que a los hombres en una relación 3:2 y ocurre con más frecuencia en adultos jóvenes, siendo una enfermedad rara en los niños. [2]
Etiología
Las causas del liquen plano no se conocen, sin embargo hay casos de rash similares a un liquen plano—conocidas como reacciones liquenoides—que ocurren por reacciones alérgicas a medicamentos para la hipertensión, cardiopatías y artritis. Estas reacciones liquenoides son conocidas también como mucositis liquenoide por su asociación a la mucosa, o dermatitis liquenoide por su asociación con la piel. Tiene una patogenia autoinmune mediada por células T que atacan la mucosa basal y sus células.
Se ha reportado al liquen plano como una complicación de una infección por hepatitis C crónica[2] y puede ser también un signo de reacción adversa en trasplantes de piel. Se ha sugerido que el verdadero liquen plano responda al estrés, en la que las lesiones aparecen en la mucosa o piel durante episodios de estrés, especialmente en personas predispuestas al trastorno, debido a los cambios inmunitarios asociados a estos períodos emocionales.[2]
Cuadro clínico
Los 5 elementos que describen a las lesiones o erupciones típicas de un liquen plano son: "Las 5 P`s": Pápulas y Placas, Poligonales, Pruríginosas, Purpúricas Los sitios más comúnmente afectados son la muñeca y los tobillos. La erupción tiende a sanar dejando una descoloración azul negruzca o marrón en la piel que persiste por bastante tiempo.[3] Además de estas lesiones clásicas, se pueden ver muchas variedades morfológicas. La presencia de lesiones cutáneas no es siempre constante y puede aparecer y desaparecer con el tiempo. Las lesiones orales tienden a perdurar por mucho más tiempo que las lesiones cutáneas.

El liquen oral puede presentarse en una de tres formas:
- La forma reticular es la presentación más común y se manifiesta como pinceladas blanquecinas en la mucosa—conocidas como estrías de Wickham[1]—o bien como pápulas más pequeñas (áreas de gránulos arenosos). Las lesiones tienden a ser bilaterales y por lo general asintomáticos. Ocasionalmente se localizan en las encías aunque por lo general se ubican a los lados de la lengua o en el interior de las mejillas.
- Ocasionalmente se presenta en forma de vesículas llenas de fluido que se proyectan de la superficie de la mucosa.
- La forma erosiva se presenta como áreas de eritema, rojizas que se ulceran y son frecuentemente incómodas.Una placa fibrinosa o seudomembranosa cubre la úlcera.La erosión del delgado epitelio puede ocurrir en varias zonas de la boca o bien en solo una, como en las encías, donde se asemejan a una gingivitis descamativa. Las estrías de Wickham pueden verse cercanas a las zonas ulceradas las cuales tienden a la transformación maligna.[4]
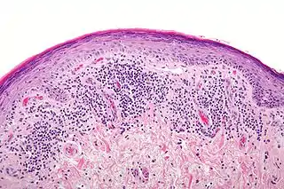
Histología
Se requieren 3 criterios histológicos para diagnosticar LPO:
- Que no haya signos de displasia.
- Degeneración hidrópica de la lámina basal celular.
- Infiltración de células de la inflamación a la capa subepitelial del tejido conjuntivo.
Localización
El liquen plano puede también afectar la zona de la mucosa genital, como es el caso del liquen plano vulvovaginal. Puede parecerse a otras condiciones cutáneas como una dermatitis atópica o psoriasis. Muy raramente se ve tomado el esófago por un liquen plano, donde puede progresar a una esofagitis erosiva y a estenosis. Se ha hipotetizado que es un precursor del carcinoma de células escamosas del esófago.[1]
Diagnóstico diferencial
La presentación clínica del liquen plano puede parecerse a otros trastornos, incluyendo:
- Reacción medicamentosa liquenoidea
- Vulvitis crónica plasmacelularis
- Lupus eritematoso discoide
- Estomatitis ulcerativa crónica
- Penfigo vulgar
- Leucoplasia oral
- Queratosis
Una biopsia es muy útil en la identificación de características histológicas que diferencian al liquen plano de estas patologías.
Tratamiento
La experiencia clínica sugiere que el liquen plano solitario es más fácil de tratar en comparación con un liquen plano asociado a la mucosa oral o con lesiones genitales. Hasta ahora no hay cura para el liquen plano, aunque hay ciertos medicamentos usados para reducir los efectos de la inflamación. El liquen plano puede permanecer en un estado latente después de dichas terapias.
Los medicamentos que con frecuencia se incluyen en la terapia del liquen plano incluyen:
- Esteroides de vía oral o tópicos.
- Retinoides orales (una derivado de la vitamina A).
- Medicamentos inmunosupresivos.
- Hidroxicloroquina.
- Tacrolimus.[4]
- Dapsona.
Referencias
- DUCASSE OLIVERA, Pedro A. e HERNANDEZ PEDROSO, Luis. Liquen plano en el Programa de Detección Precoz del Cáncer Bucal. Rev Cubana Estomatol. [online]. set.-dez. 2005, vol.42, no.3 [citado 05 Março 2008], p.0-0. Disponível na World Wide Web: . ISSN 0034-7507.
- por MedlinePlus (octubre de 2006). «Liquen plano». Enciclopedia médica en español. Consultado el 5 de marzo de 2008.
- R Katta. (American Family Physician junio de 2007.) Liquen plano Archivado el 29 de septiembre de 2007 en Wayback Machine. (en español). URL accedida el 5 de marzo de 2008
- RIANO ARGUELLES, Ana, MARTINO GORBEA, Raúl, IGLESIAS ZAMORA, María Eugenia et al. Tacrolimus tópico, tratamiento alternativo para liquen plano erosivo de mucosa resistente a corticoides: A propósito de un caso. Med. oral patol. oral cir.bucal (Internet). [online]. 2006, vol. 11, no. 6 [citado 2008-03-05], pp. 462-466. Disponible en: . ISSN 1698-6946.
