Lentigo
Un lentigo (del latín lent(em) "lenteja" + -īgo "peca") es un pequeño punto pigmentado en la piel con un borde claramente definido, rodeado de piel de apariencia normal. Es una inofensiva (benigna) hiperplasia de melanocitos, que se propaga de forma lineal. Por tanto, la hiperplasia de los melanocitos se limita a la capa de células directamente por encima de la membrana basal de la epidermis, donde se localizan normalmente los melanocitos. Esto es en contraste con los "nidos" de melanocitos de múltiples capas que aparecen en el nevus melanocítico. Debido a este rasgo característico, el adjetivo "lentiginoso" se utiliza para describir otras lesiones de la piel que proliferan de manera lineal dentro de la capa de células basales.[1][2]
| Lentigo | ||
|---|---|---|
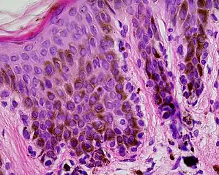
![]() Lentigo simple. | ||
| Especialidad | medicina familiar | |
| eMedicine | derm/221 | |
En plural se denomina "lentigos". Se habla de "lentiginosis" cuando hay presencia de múltiples lentigos. La palabra lentigo es de acentuación fonética llana, por lo que es incorrecto acentuarla como esdrújula: léntigo o léntigos.[3]
Diagnóstico diferencial
Los lentigos se distinguen de las pecas (efélides) en la proliferación de los melanocitos. Las pecas tienen un número relativamente normal de los melanocitos, pero un aumento de la cantidad de melanina. Los lentigos tiene un aumento del número de melanocitos. Las pecas aumentan en número y en oscuridad con la exposición al sol, mientras que los lentigos permanecerán estables en su color, independientemente de la exposición a la luz solar.[2]
Tipos
Las formas de presentación de los lentigos son: [4]
- Complejo de Carney
- Lentigo simple
- Lentigo solar
- Lentiginosis centrofacial
- Lentiginosis generalizada o profusa
- Lentiginosis mucosa
- Lentiginosis parcial unilateral
- Lentiginosis PUVA
- Melanoma lentiginoso acral
- Nevus lentiginoso moteado
- Síndrome de Peutz-Jeghers
- Síndrome LEOPARD
Véase también
Referencias
- Random House Webster's Unabridged Dictionary. Random House, Inc. 2001. Page 1101. ISBN 037572026.
- Robbins and Cotran Pathologic Basis of Disease Elsevier. 2005. Page 1232. ISBN 0-8089-2302-1 .
- Real Academia Nacional de Medicina. Diccionario de términos médicos. Madrid: Panamericana; 2012.
- William D. James, Timothy G. Berger, et al. (2006). Andrews' Diseases of the Skin: Clinical Dermatology. Saunders Elsevier. ISBN 0-7216-2921-0.
