Diagnóstico del cáncer de próstata
Si algunos síntomas o los resultados de las pruebas de detección precoz plantean la posibilidad de un cáncer de próstata, es obligatorio realizar otras pruebas para decidir si la enfermedad está presente.
| Diagnóstico del cáncer de próstata | ||
|---|---|---|
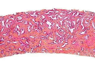
![]() Micrografía de próstata que muestra una biopsia de próstata adenocarcinoma, el tipo acinar, el tipo más común de cáncer de próstata. | ||
Signos y síntomas
El cáncer de próstata precoz, normalmente no produce síntomas y se detecta por una elevación del PSA o realizando un tacto rectal. La presencia de síntomas es indicativo de que se halla en una fase avanzada.
Entre los síntomas se encuentran: disuria, tenesmo vesical, polaquiuria y nicturia, retención de orina, pérdida de fuerza del chorro de la orina, goteo y hematuria terminal. El inicio brusco y la progresión rápida de los síntomas obstructivos urinarios en hombres del grupo de edad adecuado, tiene muchas probabilidades de ser causado por un cáncer de próstata. En el paciente con metástasis a distancia, los síntomas iniciales más frecuentes son el dolor lumbar, en la pelvis o en los hombros o en diversas zonas óseas.
La biopsia de próstata
La biopsia de los nódulos de las áreas sospechosas y de zonas al azar permite detectar el cáncer en sólo la mitad de los pacientes que presentan la próstata indurada. La biopsia también ayuda a determinar si el cáncer es o no multifocal. En más del 30% de los pacientes la biopsia con aguja no puede descubrir el cáncer, teniendo que recurrir a la repetición posterior de las biopsias.
Biopsia por punción con aguja hueca (core biopsia)
Es la técnica preferida (estándar) para diagnosticar un cáncer de próstata. Una biopsia es un procedimiento en el que se extrae una muestra de tejido y se examina al microscopio. La ecografía transrectal se utiliza para guiar e insertar una aguja fina y hueca a través de la pared del recto en algunas áreas de la glándula prostática. La aguja extrae un cilindro de tejido, normalmente de un centímetro de longitud y de 2 milímetros de ancho, que se envía a anatomía patológica para examinar si existe cáncer.
Aunque el procedimiento parezca doloroso, típicamente causa un pequeño malestar porque un pequeño instrumento en forma de pistola, inserta y extrae la aguja en una fracción de segundo. Además también se anestesia localmente el área a biopsiar. La biopsia se realiza en unos 15 minutos y se suele realizar ambulatoriamente.
Se toman varias muestras de biopsia en diferentes áreas de la próstata. Normalmente se necesitan entre 6 y 13 muestras (biopsia por sextantes) para tener una muestra representativa de la glándula que pueda mostrar la afectación de la próstata por el cáncer. Hasta 18 muestras se pueden tomar en algunos pacientes.
Algunos médicos obtienen la biopsia a través del periné, la piel que se encuentra entre el ano y el escroto. El médico introduce su dedo en el recto para tocar la próstata y entonces inserta la aguja de biopsia a través de una pequeña incisión en la piel del perineo. También se usa anestesia local en el área de biopsia. La biopsia prostática por vía transperineal presenta menos riesgos de contaminación bacteriana que la biopsia transrectal, pero es menos precisa en la toma de muestras que la biopsia transrectal.
Biopsia por aspiración con aguja fina
Es menos dolorosa y presenta menos morbilidad que la biopsia estándar con aguja gruesa y es el método de elección utilizado en muchos centros por anatomopatólogos expertos en su interpretación. La resección transuretral de próstata afectada de una hiperplasia benigna de próstata, es el método con el que más comúnmente se diagnostican los pacientes con cáncer de próstata en estadio A (T1a y T1b).
Las muestra de la biopsia se envían al laboratorio de anatomía patológica. El patólogo, un médico especialista en diagnosticar enfermedades en muestras de tejido, determinará si existe células cancerosas en la biopsia, examinándola al microscopio. Este análisis normalmente tarda de uno a tres días. Si existe cáncer, el patólogo también asigna un grado (puntuación Gleason).
La biopsia de la próstata es esencial para confirmar el diagnóstico y está indicada cuando se descubre alguna nodularidad al realizar el tacto rectal, al determinar una elevación del PSA sérico o alguna alteración en las pruebas de imagen, o bien cuando aparecen síntomas del tracto urinario inferior en un varón que no tiene causas conocidas de obstrucción.
Grados del cáncer de próstata
En una misma biopsia pueden encontrarse variaciones en el tamaño de las células, en la forma del núcleo y los nucléolos, en el grado de diferenciación glandular, en la cantidad de mucina y fosfatasa ácida, pero las zonas menos diferenciadas del tumor, es decir las de mayor malignidad histológica son las que al parecer determinan su comportamiento biológico.
La mayoría de los patólogos clasifican el grado del cáncer de próstata de acuerdo con el sistema Gleason.[1] Este sistema asigna un grado Gleason del 1 al 5, de mayor a menor diferenciación, basado en el parecido de las células cancerosas al tejido normal prostático, a los tipos histológicos glandulares dominantes y secundarios.
Si el tejido canceroso presenta parecido al tejido normal prostático, se asigna un grado 1.
Si el cáncer carece de estas características y las células se parecen muy poco a las células normales prostáticas, se llama un grado 5.
Los grados 2 y 4 tienen características intermedias.
Debido a que los cánceres de próstata a menudo tienen áreas con diferentes grados, al grado se le asignan dos áreas que representan la mayoría del cáncer. Estos dos grados son sumados siempre para obtener la "puntuación Gleason" (Gleason score) entre 2 y 10. Si la puntuación Gleason es muy alto, lo más probable es que el cáncer crezca y se extienda muy rápidamente. Las puntuaciones de 2 a 4 son siempre clasificados como de bajo grado, el 5 y 6 son de grado intermedio, y las puntuaciones de 7 a 10 se consideran de alto grado. Esta clasificación por grados es reproducible y guarda correlación con la evolución de la enfermedad y la supervivencia del paciente.
Resultados "sospechosos"
Algunas veces, cuando el patólogo detecta células prostáticas al microscopio, algunas no parecen cancerosas, pero tampoco parecen normales. Estos resultados a menudo son llamados "sospechosos". Generalmente pertenecen a dos categorías: "atípias" o Neoplasia Intraepitelial Prostática (PIN).
La PIN se divide en bajo grado y alto grado. Muchos hombres desarrollan PIN de bajo grado siendo jóvenes y no necesariamente desarrollarán un cáncer de próstata. La importancia del PIN de bajo grado en relación con el cáncer de próstata aún no está clara.
Pero con hallazgos de atipias o PIN de alto grado, el cáncer puede estar presente a la vez en alguna localización de la glándula prostática. Entre el PIN de alto grado, existe un 30 a un 50% de probabilidad de encontrar un cáncer en una biopsia realizada más tarde. Por esta razón, se recomienda repetir la biopsia de próstata en estos casos.
Estadificación (estudio de extensión)
El estadio o etapa de un cáncer es el factor más importante para elegir la opción de tratamiento más adecuada y predecir el pronóstico del paciente. Si se confirma un cáncer, es necesario realizar más pruebas diagnósticas para saber la extensión del cáncer dentro de la próstata, fuera pero en la vecindad de la próstata o en otras partes del cuerpo (enfermedad a distancia, diseminada o metastásica). Este proceso, llamado estadificación, ofrece información acerca del cáncer con varias pruebas para determinar la extensión del cáncer.
Los datos obtenidos del tacto rectal, nivel de PSA y puntuación Gleason, permiten saber qué pruebas hacen falta para el estudio de extensión. Los hombres con tacto rectal normal, PSA bajo y puntuación Gleason baja, la mayoría de las veces no necesitan ninguna otra prueba más, porque la probabilidad de que el cáncer esté extendido fuera de la próstata es muy baja.
Exploración física
La exploración física, especialmente el tacto rectal, es una parte importante de la estadificación del cáncer de próstata. Con los datos del tacto rectal, se puede decir algunas veces si el cáncer sólo está en un lado "lóbulo" de la próstata, si está presente en ambos lados, y si tiene gran probabilidad de extenderse fuera de la glándula prostática. Se deben explorar si los surcos prostáticos están presentes o borrados y si la palpación e las vesículas seminales es normal. También hay que palpar los ganglios linfáticos inguinales en busca de adenopatías metastásicas. El tacto rectal siempre es usado junto con la prueba del PSA en sangre para la detección precoz del cáncer de próstata.
El médico también debe examinar otras áreas del cuerpo para ver si el cáncer se ha extendido fuera de la pelvis. Además, el médico debe preguntar sobre síntomas como dolor de huesos, que puede indicar que el cáncer se ha extendido a los huesos (metástasis óseas). La aparición de edema escrotal o de los miembros inferiores secundario a infiltración de los ganglios linfáticos de la pelvis, es un signo de enfermedad extensa.
Pruebas de imagen usadas en el estadificación del cáncer de próstata
Tomografía axial computarizada (TAC)
Esta prueba puede ayudar a decir si el cáncer de próstata se ha extendido a los ganglios linfáticos de la pelvis. Si el cáncer de próstata recidiva después del tratamiento, el TAC puede informarnos del lugar de la recaída en la pelvis. Por otra parte, el TAC raramente proporciona información útil acerca de un nuevo diagnóstico de cáncer de próstata que se cree que está localizado (confinado a la próstata), basado en el estadio clínico, nivel de PSA y puntuación Gleason. El TAC no se usa como la resonancia magnética para evaluar la glándula prostática.
Para realizar un TAC el paciente se acuesta en una mesa alargada, y la parte de su cuerpo que va a ser examinada, se desplaza dentro del escáner, una máquina en forma de donut que rodea completamente a la mesa. A menudo, antes de obtenerse las primeras imágenes, se recibe una inyección de contraste intravenoso que ayuda a definir mejor las estructuras del cuerpo. La inyección del contraste puede ocasionar acaloradas, rubor y picor por todo el cuerpo. Algunas personas son alérgicas y pueden tener serios problemas como shock anafiláctico. Los pacientes deberían comunicar a su médico si alguna vez han tenido una reacción al contraste radiológico.
A veces es necesario beber uno o dos vasos de solución de contraste radiológico que ayuda a definir los contornos del intestino para no confundirlos con el tumor. También es necesario tener la vejiga urinaria llena para desplazar el intestino del área donde se encuentra la glándula prostática.
Resonancia magnética nuclear (RMN)
La RMN es más útil en reproducir imágenes del cáncer de próstata. Puede reproducir imágenes más nítidas de la próstata y muestra si el cáncer ha rebasado los límites de la próstata y ha invadido las vesículas seminales o la vejiga urinaria. Estas imágenes son muy importantes para planificar el tratamiento.
La RMN tarda más tiempo en realizarse que el TAC, a menudo una hora. El paciente también se tiene que acostar en una mesa rodeada de un tubo en forma de túnel estrecho y que provoca en algunas personas claustrofobia. Además la máquina produce un ruido molesto. En algunos servicios de radiología proporcionan unos auriculares con música para evitar este ruido. Finalmente, para mejorar la eficacia de la RMN, se tiende a sustituir la RMN convencional, por la RMN endorectal, en la que una sonda de RMN se introduce en el recto, debiendo permanecer unos 30 a 45 minutos y puede ser desagradable. Las mejores imágenes de la próstata con la tecnología actual disponible se obtienen con la RMN endorrectal.
Gammagrafía ósea con Tecnecio-99
Con esta prueba se sabe si el cáncer se ha extendido de la próstata a los huesos (enfermedad diseminada o metastásica). Para realizarla se inyecta el radioisótopo y el paciente se acuesta en una camilla durante unos 30 minutos y es escaneado por una máquina que detecta la radiactividad y crea una imagen del esqueleto. Las áreas de los huesos dañadas presentan más radiactividad y aparecen como puntos negros en el esqueleto (captación o acúmulos). Estas áreas sugieren cáncer metastásico, pero otras enfermedades de los huesos como la artritis, fracturas óseas antiguas y enfermedad de Paget, también pueden mostrar el mismo patrón. Para distinguir mejor estas captaciones, se solicitan otras pruebas de imagen como radiografías simples, TAC, RMN o incluso biopsia de hueso para valorar mejor estas captaciones. Debido a que la radiactividad usada es muy baja, no es probable que cause efectos secundarios en el paciente ni en las personas que convivan con él. Rara vez hay metástasis óseas cuando el nivel de PSA es menor de 10ng/ml, por lo tanto no es necesario realizar una gammagrafía para la estadificación inicial ni para el seguimiento de todos los pacientes.
ProstaScintTM scan[2]
La ventaja de esta prueba es que detecta la extensión del cáncer de próstata a los ganglios linfáticos y a otros tejidos blandos y puede distinguir el cáncer de próstata de otros cánceres y enfermedades benignas. Muchos médicos no recomiendan esta prueba a los hombres que han sido bien diagnosticados de cáncer de próstata. Puede usarse si los niveles del PSA en sangre están aumentando después de un periodo de remisión tras un tratamiento y otras pruebas no consiguen encontrar exactamente la localización del cáncer.
Igual que el rastreo óseo, el ProstaScint scan usa una inyección de un material de baja radiactividad, para encontrar el cáncer que se ha extendido fuera de la próstata. Ambas pruebas muestran las áreas del cuerpo donde se acumula el material radiactivo. Pero existen varias diferencias entre ambas pruebas.
El material radiactivo usado en el rastreo óseo se acumula en áreas del hueso que pueden ser lesiones del cáncer de próstata, otros cánceres o enfermedades benignas. El material radiactivo del ProstaScint scan es unido a un anticuerpo monoclonal, un tipo de anticuerpo fabricado en el laboratorio que reconoce una determinada sustancia. En este caso, el anticuerpo reconoce específicamente el antígeno prostático específico de membrana (PSMA), una sustancia que se encuentra en niveles altos en las células normales y cancerosas de la próstata.
Biopsia de ganglios linfáticos
La biopsia de ganglios linfáticos se hace para saber si el cáncer se ha extendido de la próstata a los ganglios linfáticos pélvicos. Si se encuentran células cancerosas en la biopsia de los ganglios linfáticos, no es posible realizar una cirugía curativa y se deben considerar otros tipos de tratamientos. Hay distintos tipos de biopsia de ganglios linfáticos:
Biopsia quirúrgica de ganglios linfáticos (linfadenectomía pélvica)
El cirujano extrae ganglios linfáticos a través de una incisión en la parte baja del abdomen (laparatomía), al igual que en una prostatectomía radical. El patólogo examina los ganglios mientras el paciente está bajo los efectos de la anestesia para ayudar al cirujano si continúa con la prostatectomía radical. Este método se llama biopsia extemporánea por congelación porque la muestra de tejido se congela antes de ser cortada en láminas para ser vistas al microscopio. La biopsia extemporánea por congelación sólo la hace el cirujano si sospecha que el cáncer está extendido, por ejemplo si el PSA es mayor de 20 y la puntuación Gleason es mayor de 7. Si la probabilidad de que el cáncer esté extendido es baja, muchos cirujanos no practican la biopsia extemporánea por congelación y envían a examinar los ganglios linfáticos junto con la próstata cuando realizan una prostatectomía radical. Los resultados de este examen están disponibles normalmente entre 3 y 7 días después de la cirugía.
Punción Aspiración con Aguja Fina (PAAF)
Suele ser realizada por los radiólogos intervencionistas que obtienen una muestra de células de los ganglios linfáticos. En este procedimiento, el médico usa las imágenes del TAC para guiarse con una aguja larga y fina, que la introducen hasta llegar al ganglio linfático, que conectan a una jeringuilla que obtiene pequeñas muestras de tejido de uno de los ganglios linfáticos. Antes de que se introduzca la aguja, se anestesia localmente la piel del enfermo y puede volver a casa después, a las pocas horas de la prueba. Este procedimiento no se realiza muy a menudo.
Laparoscopia (linfadenectomía laparoscópica)
El cirujano extrae todos los ganglios linfáticos localizados alrededor de la glándula prostática utilizando instrumentos quirúrgicos especiales manejados a través del laparoscopio y los envía al patólogo. Debido a que no se hacen grandes incisiones, mucha gente es dada de alta al día siguiente o los dos días, y la operación no deja teóricamente cicatrices. Este procedimiento se realiza muy raramente.
Se está revisando la necesidad de una linfadenectomía sistemática como paso a la estadificación, dado el gran número de tumores de pequeño tamaño en estadio T1c que se están diagnosticando, y dado que las metástasis linfáticas son raras en esos pacientes con niveles de PSA sérico menor de 10 ng/ml y con tumor cuya puntuación de Gleason es menor de 5 (Tablas de Partin[3]).
Detección precoz de metástasis hematógenas
Se puede utilizar una reacción en cadena de la polimerasa (PCR) con la transcriptasa inversa para amplificar el ARN mensajero del PSA para descubrir en la circulación un escaso número de células de cáncer de próstata, pero no está clara por el momento la significación clínica de este hallazgo.
Prostatitis aguda
La infección bacteriana causa disuria, dolor y a menudo fiebre. La próstata es dolorosa y está agrandada, pero no es dura. El masaje prostático para la obtención de líquido está contraindicado en esta situación aguda, por lo que este diagnóstico se confirmará con un cultivo de orina positivo para el agente causal.
Prostatitis crónica granulomatosa
Causada por infección bacteriana, tuberculosa, fúngica o por protozoos puede dar lugar a una masa clínicamente indistinguible del cáncer. Es necesario una biopsia para realizar el diagnóstico.
Hiperplasia benigna de próstata
Se encuentra en varones de 30 años de edad o más y en el 80% de los hombres de 80 años. Los síntomas de obstrucción urinaria son frecuentes. Los nódulos palpales son indistinguibles de los cancerosos y precisan biopsia.
Otras enfermedades
Muy rara vez, los cálculos, la amiloidosis, los adenomas benignos o el infarto de un nódulo hiperplásico causan obstrucción o producen una masa que parece un cáncer.
El sistema de estadificación TNM
Un sistema de estadificación es un método estandarizado en el que se describe lo extendido que está el cáncer. Existen varios sistemas de estadificación para el cáncer de próstata, pero el más usado en la mayoría de los países es el sistema TNM. También es conocido como el Staging System of the American Joint Committee on Cancer (AJCC)[4] y Sistema de la International Union Against Cancer.[5]
El sistema TNM describe lo extendido que esta el tumor primario (estadio T), si afecta o no a los ganglios linfáticos próximos al tumor (estadio N), y si existe o no metástasis a distancia (estadio M).
Los estadios están basados en la versión más reciente (2010) del manual de estadificación de la AJCC. Algunos médicos, sin embargo, aún siguen usando la versión de 1997, o incluso la de 1992, que tienen pequeñas diferencias.
Estadio T
Actualmente hay dos tipos de clasificación T para el cáncer de próstata. El estadio clínico está basado en las pruebas realizadas antes de la cirugía, como el resultado del PSA y la valoración del tacto rectal. Si se realiza una cirugía, se determina el estadio patológico, basado en los hallazgos de la cirugía y del examen microscópico de los tejidos extirpados. Hay 4 categorías para describir el estadio T del cáncer de próstata, llamados de T1 a T4.
- T1
El tumor no ha podido ser detectado con ninguna técnica de imagen como la ecografía transrectal.
- T1a: El cáncer ha sido diagnosticado incidentalmente durante una resección transuretral (RTU) por una hipertrofia benigna de próstata. El cáncer está presente en menos del 5% del tejido extirpado.
- T1b: El tumor ha sido hallado después de una RTU pero está presente en más del 5% del tejido extirpado.
- T1c: El cáncer se ha diagnosticado a través de una biopsia de próstata solicitada por una elevación del PSA.
- T2
El tumor ha sido detectado por un tacto rectal, pero aparece confinado a la próstata.
- T2a: El cáncer se detecta en la mitad o menos de un solo lado (lóbulo), derecho o izquierdo de la próstata.
- T2b: El cáncer se detecta en más de la mitad de un solo lado, derecho o izquierdo de la próstata.
- T2c: El cáncer se palpa en ambos lóbulos de la próstata.
- T3
El cáncer ha sobrepasado los límites de la próstata y puede afectar a las vesículas seminales.
- T3a: El cáncer se extiende fuere de la próstata pero no afecta a las vesículas seminales.
- T3b: El cáncer afecta a las vesículas seminales.
- T4
El cáncer se ha extendido a los tejidos próximos a la próstata, distintos de las vesículas seminales, como el esfínter vesical, recto o la pared de la pelvis.
Estadio N
- N0 (N cero) significa que el cáncer no se ha extendido a ningún ganglio linfático.
- N1 significa que el cáncer se ha extendido a uno o más ganglios linfáticos regionales (próximos a la próstata) de la pelvis.
Estadio M
- M0 significa que el cáncer no presenta metástasis a distancia.
- M1 significa que el cáncer presenta extensión a distancia (fuera de la pelvis), como a otros ganglios linfáticos (como los periaórticos o mediastínicos), otros órganos como el hueso, pulmón, hígado o cerebro.
Grupos de estadio
Una vez que se ha determinado las categorías T, N y M, esta información se combina junto con la puntuación Gleason, en un proceso llamado estadio de grupo. La mayoría de los estadios se denominan en números romanos desde el I (el menos avanzado) al IV (el más avanzado). Esto sirve para determinar el tratamiento y pronóstico.
Estadio I
El cáncer no se ha extendido a los ganglios linfáticos ni a ninguna parte del cuerpo. El cáncer se halló durante una resección transuretral y tiene una puntuación Gleason baja (2 a 4), y menos del 5% del tejido extirpado era canceroso. Incluye:
- T1a, N0, M0, puntuación Gleason baja (2 a 4).
Estadio II
El cáncer no se ha extendido a los ganglios linfáticos ni a ninguna parte del cuerpo y:
- - Se ha encontrado en una resección transuretral, donde afectaba a más del 5% del tejido resecado. Tiene un Gleason intermedio o alto (5 más alto).
- - Se ha diagnosticado por una biopsia realizada por un nivel de PSA alto, y no se ha podido palpar en el tacto rectal o no se ha visto en la ecografía transrectal.
- - Puede haberse detectado al tacto rectal o por ecografía transrectal.
- T1a, N0, M0, Gleason intermedio o alto (5 a10)
- T1b, N0, M0, cualquier Gleason (2 a 10)
- T1c, N0, M0, cualquier Gleason (2 a 10)
- T2, N0, M0, cualquier Gleason (2 a 10).
Estadio III
El cáncer ha sobrepasado los límites de la próstata y puede afectar a las vesículas seminales, pero no a los ganglios linfáticos ni a ninguna parte del cuerpo.
- T3, N0, M0, cualquier Gleason (2 a 10).
Estadio IV
Se caracteriza por uno o más de los siguientes puntos.
- - El cáncer se ha extendido a los tejidos próximos a la próstata, diferentes de las vesículas seminales, como el esfínter externo vesical (músculos que ayudan en el control de la micción), recto, y/0 pared de la pelvis.
- - Se ha extendido a los ganglios linfáticos.
- - Se ha extendido a órganos distantes del cuerpo.
- T4, N0, M0, cualquier Gleason (2 a 10)
- Cualquier T, N1, M0, cualquier Gleason (2 a 10)
- Cualquier T, cualquier N, M1, cualquier Gleason (2 a 10)
Sistema de Whitmore-Jewett
Además del TNM, otros sistemas pueden usarse para estadiar el cáncer de próstata. El sistema de Whitmore-Jewett clasifica el cáncer de próstata como A, B, C, o D.
Estadio A
Tumor clínicamente indetectables confinado a la glándula prostática y que ha sido un hallazgos casual en una cirugía de próstata por otro motivo.
- A1: Bien diferenciado con afectación focal.
- A2: Moderadamente o pobremente diferenciado o con afectación de múltiples focos en la glándula prostática.
Estadio B
Tumor confinado a la glándula prostática.
- BO: PSA detectable, pero tumor no palpable.
- B1: Único nódulo en un lóbulo de la próstata.
- B2: Afectación más extensa de un lóbulo o de ambos lóbulos de la próstata.
Estadio C
Tumor clínicamente localizado en el área periprostática pero que se extiende a la cápsula prostática o afecta a las vesículas seminales.
- C1: Extensión clínica extracapsular.
- C2: El tumor extracapsular produce retención de orina u obstrucción uretral.
Estadio D
Enfermedad metastásica.
- DO: Enfermedad localizada clínicamente sólo en la próstata, pero con elevación persistente de la enzima sérica fosfastasas alcalinas.
- Dl: Sólo afectación de ganglios linfática regional en la pelvis.
- D2: Afectación de ganglios linfáticos distantes, metástasis óseas o en órganos viscerales.
- D3: Pacientes con cáncer de próstata estadio D2 que recaen después de un adecuado tratamiento hormonal.
Prevención
El cáncer de la próstata, al igual que otros tipos de cáncer y otras enfermedades, es altamente hereditario, por lo que es importante que cualquier hombre mayor de cuarenta años, cuyos parientes cercanos (padre, hermanos, tíos, etc.) padezcan o hayan padecido tal enfermedad, mantenga una vigilancia periódica y esté alerta a los síntomas.
Referencias
- «Gleason». Archivado desde el original el 7 de diciembre de 2005. Consultado el 23 de noviembre de 2005.
- «ProstaScintTM scan». Archivado desde el original el 13 de enero de 2006. Consultado el 23 de noviembre de 2005.
- Tablas de Partin
- Staging System of the American Joint Committee on Cancer (AJCC)
- Sistema de la International Union Against Cancer
