Cistitis
La cistitis es la inflamación aguda de la vejiga urinaria, con infección o sin ella.[1] Etimológicamente, como todos los términos médicos acabados en "-itis", hace referencia a la inflamación de un órgano, en este caso la vejiga (en griego, κύστη, kisty).
| Cistitis | ||
|---|---|---|
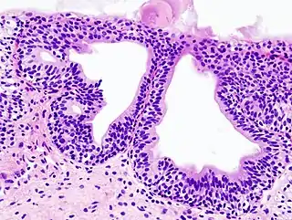
![]() Histopatología de una cistitis glandular en una biopsia citoscópica. Tinción con hematoxilina y eosina. | ||
| Especialidad | urología | |
| Síntomas | Dolor al orinar , micción frecuente, sensación de necesidad de orinar a pesar de tener la vejiga vacía. | |
| Factores de riesgo | Anatomía femenina, relaciones sexuales, diabetes , obesidad , antecedentes familiares | |
| Tratamiento | Antibióticos | |
Es una de las posibles formas de infección urinaria.
Etiología y patogenia
Puede tener distintas causas. La causa más frecuente de cistitis es la infección por bacterias gram negativas, destacando entre todas la Escherichia coli. Para que un germen produzca cistitis primero debe colonizar la orina de la vejiga (bacteriuria) y posteriormente producir una respuesta inflamatoria en la mucosa vesical. A esta forma de cistitis se le denomina cistitis bacteriana aguda. Afecta a personas de todas las edades, aunque sobre todo a mujeres en edad fértil o a ancianos de ambos sexos. Otras formas de cistitis son la cistitis tuberculosa (producida en el contexto de una infección tuberculosa del aparato urinario), la cistitis química (causada por efectos tóxicos directos de algunas sustancias sobre la mucosa vesical, por ejemplo la ciclofosfamida), la cistitis rádica (secuela crónica de tratamientos con radioterapia sobre la pelvis), la cistitis glandular (una metaplasia epitelial con potencialidad premaligna) o la cistitis intersticial (una enfermedad funcional crónica que cursa con dolor pélvico, urgencia y frecuencia miccional).
Cuadro clínico
Los síntomas más frecuentes son:
- Aumento en la frecuencia de las micciones (poliuria). Se experimenta una necesidad constante de ir al baño incluso durante la noche (nicturia, apremiante en ocasiones).
- Dolor intenso en la región suprapúbica (sobre la vejiga).
- Disuria (ardor y dificultad, complicada con dolor, al orinar e incluso después).
- Fiebre (por encima de los 37 °C).
- También puede presentar orina turbia acompañada o no de piuria (aumento de los leucocitos en la orina) o hematuria (presencia de hematíes en la orina). Suele ir acompañada también por fuerte mal olor, a menudo similar al del amoníaco.
- En los niños menores de cinco años es frecuente que los síntomas adopten formas más imprecisas como debilidad general, irritabilidad, falta de apetito o vómitos.
- En personas mayores, los síntomas pueden complicarse con debilidad, confusión, fiebre o caídas.
Diagnóstico
Algunos de los síntomas enumerados en la sección anterior no son exclusivos de esta patología, por lo que se hace necesario recurrir a pruebas diagnósticas concretas que confirmen que se trata de un caso de cistitis. Generalmente se recurre a una muestra de orina en la que se rastrean los siguientes componentes: glóbulos blancos, glóbulos rojos, bacterias y ciertos elementos químicos como los nitritos.
Tratamiento
El tratamiento para las infecciones de orina o cistitis es complejo y puede no dar resultados inmediatos. Por eso, puede incluir desde la prescripción de distintos tipos de fármacos a la planificación de cambios en la dieta. Otras medidas complementarias son la terapia física para trabajar el fortalecimiento de la vejiga y la actividad física moderada.
En el caso de que se trate de una infección vesical simple, suele recomendarse tomar antibióticos administrados por vía oral para evitar que la infección se expanda a la zona renal. El tratamiento suele prolongarse durante 3 días en el caso de las mujeres y entre 7 y 14 para los hombres. En caso de presentar complicaciones (tales como una gestación avanzada o diabetes), deberán tomarse antibióticos durante al menos una semana. El facultativo puede prescribir también fármacos para aliviar el dolor al miccionar, así como la sensación de urgencia ante dicho proceso. El clorhidrato de fenazopiridina es el más habitual.
La acción de los medicamentos debe verse complementada por la ingesta abundante de agua.
Tratamiento con arándano rojo americano
Diversos estudios evidencian que la ingesta de arándano rojo americano puede prevenir o acelerar el proceso de curación de la cistitis. Esto se cree que es debido a la acción de las proantocianidinas y a su capacidad para evitar la adhesión de la bacteria E.Coli a la vejiga urinaria.[2]
Véase también
Referencias
- Li, Raymund; Leslie, Stephen W. (2021). Cystitis. StatPearls Publishing. Consultado el 11 de octubre de 2021.
- Cochrane Library (ed.). «Arándanos en prevención de Infección urinaria».
Enlaces externos
- Guidelines for Antimicrobial Treatment of Uncomplicated Acute Bacterial Cystitis and Acute Pyelonephritis in Women (en inglés)
- A Survey of Outpatient Antibiotic Prescribing for Cystitis (en inglés)
- Increasing Prevalence of Antimicrobial Resistance Among Uropathogens Causing Acute Uncomplicated Cystitis in Women (en inglés)
- Guía para eliminar la cistitis
- En Epistemoikos hay más información sobre Cistitis.
