Carcinoma lobulillar 'in situ'
El carcinoma lobulillar in situ (CLIS), es un término médico que se refiere a cambios neoplásicos no cancerosos en las células que revisten los lóbulos o lobulillos de la mama en los extremos distales de los conductos mamarios.[1] Se denomina in situ, porque la enfermedad no es infiltrante.[2] A pesar de que el carcinoma lobulillar in situ no es un cáncer, su presencia indica un riesgo mayor en la aparición de cáncer de mama, aunque no todas las pacientes con un carcinoma in situ, incluyendo los peores casos, desarrollan cáncer de mama.[3] El carcinoma lobulillar in situ es más frecuente en mujeres que aún no han arribado a la menopausia. Descrito por primera vez por Foote y Stewart en 1941, constituye entre el 3 al 5% de los carcinomas de la mama y es, por lo general, una enfermedad de mujeres premenopausicas.[4]
| Carcinoma lobulillar 'in situ' | ||
|---|---|---|
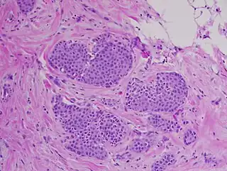
![]() Carcinoma lobulillar 'in situ', tinción hematoxilina-eosina, 20x | ||
Histología
El CLIS es una proliferación sólida y oclusiva de los lobulillos y otros conductos perilobulillares. Los acinos de las glándulas se ven dilatados y ocupados por células pequeñas y por lo general uniformes, siendo pleomórficas solo en la afectación ductal del carcinoma, es decir, cuando aparece en los conductos mamarios. Estas células no han invadido los tejidos más profundos del seno, ni se han propagado a otros órganos del cuerpo.[2] Rara vez se ve necrosis o calcificación y de aparecer ocurre en las etapas más avanzadas de la enfermedad.[4]
Diagnóstico
El carcinoma lobulillar in situ no aparece en una mamografía o radiografía del seno. Por lo general, se descubre al azar, cuando se extrae una muestra de tejido mamario con el fin de ser examinado bajo el microscopio o cuando se realiza una biopsia de alguna masa o tumoración en el seno.
Tratamiento
El carcinoma lobulillar in situ casi siempre se trataba con una mastectomía o resección del seno. En el presente, se indican terapias menos agresivas y más conservadoras y no siempre es necesario tratar todos los casos diagnosticados, a menudo se recomienda hacer seguimiento médico cada 6-12 meses y mamografías cada 1 a 2 años en busca de cambios mamarios que puedan sugerir los estadios iniciales del cáncer de mama.[5]
Muy rara vez se realiza una masetctomía bilateral, es decir, la remoción de ambos senos y ocurre solo en mujeres con un alto riesgo familiar de cáncer de mama o si es elección de la paciente para aliviar la ansiedad asociada al riesgo de contraer cáncer de mama. La radioterapia no juega ningún papel en el tratamiento del CLIS.[5]
Referencias
- SILVERA ARENAS, Luz Alba, CAEZ, Clara, CAMARGO, Patricia et al. Análisis de los factores inmunohistopatológicos (receptores hormonales, estrógenos, progesterona y ERB-2) asociados al pronóstico del cáncer de mama en la población de Barranquilla (2004- 2005). Salud, Barranquilla. [online]. jul./dic. 2007, vol.23, no.2 [citado 24 septiembre de 2008], p.150-161. Disponible en la World Wide Web: . ISSN 0120-5552.
- Sociedad Americana del Cáncer. Cáncer del seno Archivado el 2 de diciembre de 2008 en Wayback Machine. (en español). Último acceso 24 de septiembre de 2008.
- Breast Cancer Network of Strength. «Carcinoma Lobular in Situ». Archivado desde el original el 28 de septiembre de 2008. Consultado el 3 de octubre de 2008.
- F. Ignacio Aranda López. Carcinoma Lobulillar in situ. Problemas diagnósticos y significado clínico (en español). IV CONGRESO VIRTUAL HISPANOAMERICANO DE ANATOMÍA PATOLÓGICA.
- ANDREU MARTINEZ, F. J. y MARTINEZ MATEU, J. M. Papel de la radioterapia en el tratamiento del carcinoma in situ de mama. Oncología (Barc.). [online]. 2006, vol. 29, no. 8 [citado 2008-09-24], pp. 34-40. Disponible en: . ISSN 0378-4835.
Véase también
Enlaces externos
- GARCIA TAMAYO, Jorge, BLASCO OLAETXEA, Eduardo, MORALES, Adriana et al. Importancia de la expresión de E-cadherina en el diagnóstico inmunohistoquímico del cáncer de mama. Invest. clín. [online]. dic. 2006, vol.47, no.4 [citado 24 de septiembre de 2008], p.371-383. Disponible en la World Wide Web: . ISSN 0535-5133.
- National Comprehensive Cancer Network Tipos de cáncer del seno (en español).
- El carcinoma lobulillar de la mama y la inactivación del gen de la E-cadherina: revisión inmunohistoquímica sobre el origen de esta neoplasia (en español). Academia Biomédica Digital, ISSN 1317-987X, N.º. 20, 2004.
